当院の矯正治療
2018-4-12
こんにちは!!!

こんにちは、奥田歯科医院の助手 鶴田です
花粉症がやばいです!!!
くしゃみが特に止まらない
皆様は、大丈夫でしょうか?
どうか、ご自愛ください。
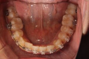
矯正ですが、とうとう前歯を引き下げにかかりましたよ!!
矯正治療の終盤にかかってきたのかなぁー、とおもっております!
隙間が少しずつなくなってきて、嬉しい限りです

早く終わってホワイトニングもしたいなぁーと思うようになってきました。
綺麗な歯で、ステキな笑顔になりたいですね✨



