もうすぐ春ですね♪
こんにちは!アシスタントの鶴田です!
大変長らくお待たせいたしました♪
やっと矯正ブログ更新ですよ!笑

やろうと思いつつ…何を書こうかなぁと考えているあいだに忘れ去られていました。
すいません。
ついに患者様にも、早く、更新待ってるよーっと言われてしまいました!
なので、頑張って、毎月更新いたします????????????✨

今日は、2月の矯正日でした!
やはり、あまり変わりなく…
でも、下のワイヤーを太くしたので久々に痛くなりそうでワクワクしています!
私的には、痛みや変化がないと正直つまらないんです笑
それにゴムかけをしないとなので、痛みが出そうな予感がすでにしています。
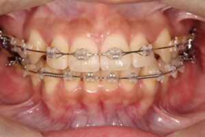
そうそう、ゴムかけって知ってますか?
(私がかってにそう呼んでいるだけ笑)
ブラケットやワイヤーとは別に自分で毎日かけるゴムのことを言うんですが、
これは、人によってかける場所やかけ方、
本数やゴムの種類など様々でちゃんと毎日しておかないと効果がなかったり、
先生の計画通りに治療が進まないので頑張ってつけてくださいね!????????
私のはこんな感じです!


このお猿さん????のしっぽを使って引っ掛けています!
この器具も、タコやゾウなどいろいろあるのでそれも矯正のお楽しみポイントですかね????
あとは、当院の患者様で、矯正の患者様が増えてきました!
皆様と矯正トークをするのも楽しみの1つです????
これが大変!あれはいい!早く終わらないかなぁ。など、いろいろお話が出来るようになってきて嬉しいかぎりです!
もし何か、お困りのことがございましたらおっしゃってくださいね。
一緒にどうしたらいいか考えます!
当院は、歯並びで悩んでいる方が笑顔になれるようサポートいたします。



